亲爱的读者,你是否曾好奇过那些神秘而复杂的手术过程?今天,我要带你走进一个充满挑战与希望的世界——强直性脊柱炎手术。没错,就是那种听起来就让人心跳加速的手术。接下来,让我们一起揭开这神秘面纱,看看那些勇敢面对病痛的人们是如何通过手术重获新生的。

手术前的准备:一场与时间的赛跑
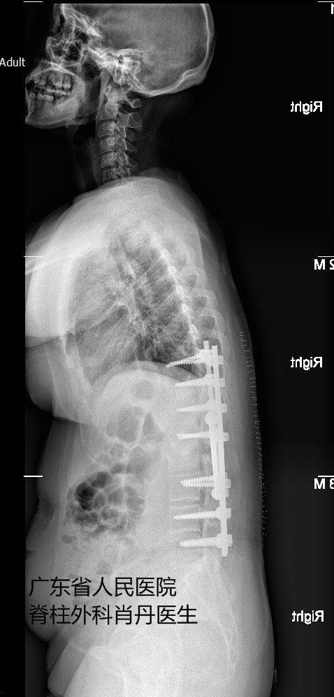
强直性脊柱炎,这个听起来就让人心生恐惧的疾病,让无数患者痛苦不堪。为了摆脱病痛的折磨,他们选择了手术治疗。手术前的准备工作却是一场与时间的赛跑。

首先,患者需要经过严格的检查,确保身体状况适合手术。医生会详细询问病史,进行各项检查,如血常规、肝肾功能、心电图等。此外,患者还需进行心理辅导,帮助他们调整心态,以最佳状态迎接手术。

在这个过程中,患者和家人都承受着巨大的压力。他们不仅要面对病痛的折磨,还要担心手术的风险。正是这种压力和担忧,让他们更加珍惜生命,勇敢地面对挑战。
手术过程:一场与病痛的较量
当一切准备就绪,手术正式开始。手术室内,医生和护士们紧张而有序地忙碌着。患者被推进手术室,躺在手术台上,等待着生命的转折。
手术过程中,医生会根据患者的具体情况,选择合适的手术方式。常见的手术方法有:脊柱融合术、脊柱截骨术、脊柱侧弯矫正术等。这些手术都需要在全身麻醉下进行,患者将在无知觉的状态下完成这场与病痛的较量。
手术过程中,医生会小心翼翼地操作,尽量避免损伤周围的神经和血管。手术难度之大,可见一斑。正是这些勇敢的医生,用他们的精湛技艺,为患者带来了希望。
术后康复:一场与自我的较量
手术成功完成,患者终于从病痛的折磨中解脱出来。康复之路才刚刚开始。术后康复,是一场与自我的较量。
首先,患者需要经历漫长的恢复期。在这段时间里,他们需要按照医生的指导,进行各项康复训练。这些训练包括:物理治疗、按摩、牵引等。通过这些训练,帮助患者恢复关节活动能力,减轻疼痛。
其次,患者还需注意饮食和生活习惯。合理的饮食可以提供足够的营养,帮助身体恢复。良好的生活习惯,如保持良好的作息时间、避免过度劳累等,都有助于患者的康复。
在这个过程中,患者和家人都需要付出巨大的努力。他们要时刻关注患者的身体状况,鼓励他们坚持下去。正是这种关爱和支持,让患者战胜了病痛,重拾生活的信心。
手术视频:一场与知识的传播
随着互联网的普及,越来越多的手术视频出现在我们的视野中。这些视频,让我们得以一窥手术的全过程,了解手术的原理和技巧。
观看手术视频,不仅可以增长知识,还可以让我们更加了解医生的工作。这些视频,让我们看到了医生们严谨的工作态度和精湛的技艺,也让我们对生命有了更深的感悟。
观看手术视频并非毫无风险。由于手术过程复杂,观看者可能无法完全理解其中的细节。因此,在观看手术视频时,我们要保持理性,切勿盲目模仿。
强直性脊柱炎手术,是一场与病痛的较量,也是一场与自我的较量。在这场较量中,患者、医生、家人共同努力,最终战胜病痛,重获新生。
通过这篇文章,我们了解了手术前的准备、手术过程、术后康复以及手术视频等内容。希望这些信息能帮助到更多的人,让他们在面对病痛时,有更多的信心和勇气。让我们一起为生命喝彩,为健康加油!
